|
EQUILIBRIO OCLUSAL
Y PERIODONCIA
|
Clínica Dental Dr. Jesús
María Martínez Gil
|
|||
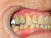
| La Parodontosis o enfermedad periodontal es la fase
final de un fenómeno frecuente en la boca de las personas: la Gingivitis.
Son fases del mismo proceso patológico, que termina, si no media
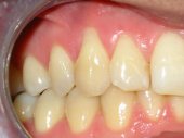
tratamiento, en la pérdida inevitable de los dientes afectados. Este proceso es consecuencia del llamado TRAUMA OCLUSAL en el que la falta de higiene (placa bacteriana) actúa como agravante. El TRAUMA OCLUSAL es la consecuencia de la pérdida del equilibrio oclusal masticatorio. El dr. Planas es quien mejor ha estudiado y comprendido el trauma oclusal, de tal manera que su conocimiento hace que el tratamiento de los procesos de afectación parodontal resulte efectivo. Eliminando el trauma oclusal cesa la inflamación y el sangrado gingival, se detiene la recesión gingival, desaparece la hipersensibilidad dentinaria, cesa la pérdida de hueso y la movilidad dentaria se reduce. Por todo ello consideramos que el tratamiento de la enfermedad periodontal debe encararse siempre desde el estudio y tratamiento del trauma oclusal, acompañado de los tratamientos necesarios para eliminar la placa bacteriana y el sarro depositado en el parodonto. En la animación se ve el efecto parodontal de una masticación unilateral; la pérdida de soporte óseo en los incisivos con su desplazamiento y apertura de espacios entre dientes. |
||||
![]() ![]() ![]() ![]() |
||||
|
|
|
Alteraciones de los tejidos parodontales (encía, ligamento y hueso) por problemas funcionales |
|
|
|
|
|
Sangrado gingival espontáneo, infecciones
en las encías o movilidad dentaria debidos al desequilibrio oclusal
|
|
|