PORTADA

Método del papel celo

para registro de los

Ángulos Funcionales Masticatorios de Planas

Dr.Luis Roméu López de Sagredo
C/ Miralcampo 4 Bajo C
28230 Las Rozas de Madrid
Tlf. 91.710.38.69 ESPAÑA
luisromeulds@yahoo.es

(Este artículo es resúmen de una brillante conferencia impartida durante el Congreso CIRNO 2004 en Zaragoza por parte del Dr. Luis Roméu. Ha sido tratado para convertirlo en lenguaje html, intentando dotar de interactividad visual facilitando así su comprensión.)

Método del papel celo para registro de los A. F. M. Ps.

Con el siguiente método seremos capaces de medir los Ángulos Funcionales Masticatorios de Planas (AFMP) usando únicamente papel celo y un rotulador de tinta permanente.

Los pasos a seguir son los siguientes:

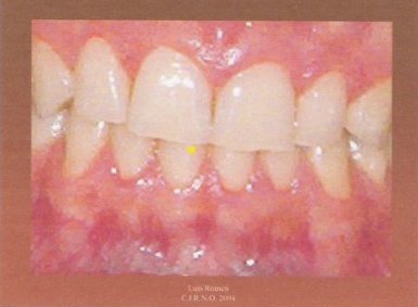
1.- Es conveniente adiestrar al paciente para que aprenda a realizar lateralidades izquierda y derecha desde su máxima intercuspidación. También es aconsejable poner un separador labial. Tras secar los incisivos superiores e inferiores con un rollo de algodón, marcamos un punto en la arcada inferior con el rotulador.

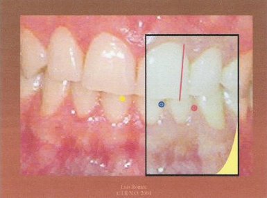
2.- Adherimos un trozo de papel celo a los incisivos superiores.

3.- Trazamos una línea con el rotulador sobre el papel celo de tal manera que comienza en el punto que marcamos en el primer paso, visto por transparencia, y asciende paralelo a la línea media facial del paciente. Este paso debe realizarse con mucho cuidado pues de él depende el éxito del procedimiento.

4.- Invitamos al paciente a realizar una lateralidad derecha. Es aconsejable que sea lo más amplia posible siempre y cuando el trayecto sea rectilíneo. Marcamos sobre el papel celo un punto encima del que pintamos en el primer paso.

5.- Repetimos el paso anterior pero lateralizando para la izquierda.

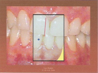
6.-Despegamos el papel en el que queda marcados la línea de referencia y los dos puntos y lo adherimos sobre una plantilla previamente fabricada.

7.- El resultado final nos indica tanto los grados de los ángulos como los milímetros de desplazamiento.

Con muy ligeras modificaciones de este procedimiento se pueden medir los AFMP en casos más complicados como mordidas profundas, mordidas cruzadas anteriores, bocas con pistas, mordidas abiertas, etc.

(Este método fue presentado en la última reunión del CIRNO en Zaragoza)

SUBIR PORTADA